Mr Pankhania has presented much of his research at national and international conferences. Click on the links below to gain access to some of his published material including seminal papers on necrotising otitis externa.
(Some journals may require access credentials)

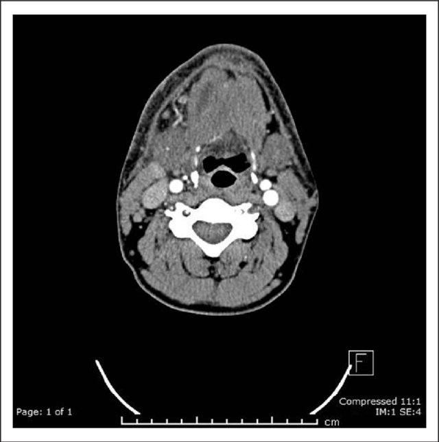
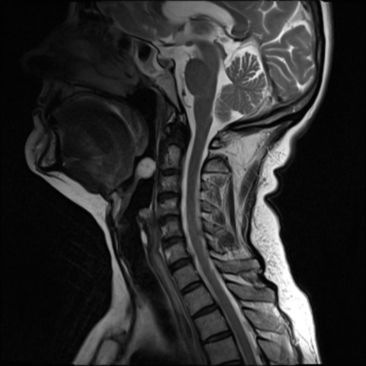
Abscess of the Anterior Belly of the Digastric
https://pubmed.ncbi.nlm.nih.gov/31232606/
Abscesses within muscles in the Head and Neck are exceptionally rare, others having been described by Luc, Bezold, and Citelli. Mr Pankhania describes the first ever case of this variety under the tongue in the anterior digastric muscle.

Thyroid Haemorrhage
https://www.ncbi.nlm.nih.gov/pubmed/26939787
Presented at BACO 2015 – Bleeding after thyroid surgery can be life threatening. Mr Pankhania analysed James England’s 20-year case series data to demonstrate that the risk of bleeding after thyroid surgery is higher when associated with Graves’ disease.

Malignant Otitis Externa
https://www.ncbi.nlm.nih.gov/pubmed/26352779
Presented at the British Scandinavian Otology Meeting – Mr Pankhania’s seminal work on an obscure infective ear condition affecting the elderly, patients with diabetes, and the immunosuppressed, which untreated can result in death. This paper is now widely cited by ear surgeons across the world!

Post-Nasal Space Suction Catheter
https://www.ncbi.nlm.nih.gov/pmc/articles/PMC4473460/
Mr Pankhania’s clever fix to improve the surgical field of vision in tricky cases of sinus surgery where there is lots of inflammation and therefore bleeding.

Warthin’s Tumour of the Larynx
https://www.ncbi.nlm.nih.gov/pubmed/26263953
A rare but benign tumour more commonly seen in the major salivary glands seen here in the voicebox.

ENT Surgery and Laryngeal Mask Airways
https://www.ncbi.nlm.nih.gov/pubmed/24668055
An undercover patient safety study to determine the safest method of airway management when patients are asleep during tonsil surgery.

Chondrosarcoma of the Larynx
https://www.ncbi.nlm.nih.gov/pubmed/23131213
Front Cover of the Annals of the Royal College of Surgeons of England

Nasopharyngeal Tuberculosis
https://www.ncbi.nlm.nih.gov/pubmed/23047991
TB was known as the great masquerader because it could cause any symptom, any where, mimicking any other condition. This case was no exception!

Discharging Ears – Otorrhoea
https://www.ncbi.nlm.nih.gov/pubmed/21602234
Published in the British Medical Journal 2011 – A simple guide to managing the discharging ear in primary care for general practitioners and allied healthcare practitioners.

Balloon Dilatation of the Tracheal Stoma
https://www.ncbi.nlm.nih.gov/pubmed/21344440
Our cancer patients sometimes run into difficulty with narrowing of their airway because of aggressive scarring. We describe a method to do this without the need for an operation.
